中富口腔:主页 > 诊疗项目 > 口腔种植 > 门牙缺失 > >

门牙缺失修复多少钱?

作者:admin发布时间:2018-01-25 16:24浏览次数:
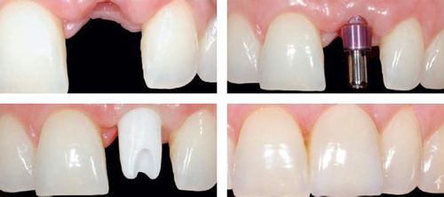
  门牙缺失修复多少钱?门牙的缺失不仅严重影响人们的美观,对人们的日常咀嚼、发音、口腔健康等也有一定的影响。而当今口腔医学的发展对门牙的修复方法也有很多,而种植牙以其特有的优势逐渐被人们所接受。那么,种植牙修复门牙缺失要多钱?下面给您分享:
 
  做门牙种植牙修复价格是没有一个明确的数据的,一般在几千到上万不等,一般受到以下因素的影响:
 
  1、个人的口腔状况不同:不同的顾客口腔环境不同,健康状况也不同,适应的种植牙材料也不同,还有的顾客可能需要先治疗才能做种植牙,这样也影响到前牙种植牙价格。

 
  2、门牙种植数量 :门牙种植价格首先受到前牙种植数量的影响,种牙的数量多,费用就越高,反之,种植的颗数越少,价格当然就较低。
 
  3、品质材料 :门牙种植品质不同价格不同,也可以说材料不同价格不同。种植系统有国产和进口之分,这样价格就不同。以我院为例,我院(康美口腔)进口的种植系统包括:瑞士ITI、瑞典诺贝尔、韩国奥齿泰等种植系统等,满足不同人需求。
 
  4、医生技术有关 :前牙种植对医生技术的要求非常高。医生不仅要精通口腔的治疗,也要有较强的审美理念,还有赖于临床医师专业的前牙种植修复理论支撑、规范的操作、正确的设计和技师的密切配合等。所以非一般的治疗型的口腔所能把握的,前牙种植一定要到正规医院进行。
 
  5、医院 :门牙种植价格还与选择的医院有关。正规医院的口腔科,在硬件投入和软件建设上是非常重视的,且正规口腔医院拥有经验丰富的医生,能够保证种植牙的效果和安全性。
上一篇:没有了
福建省宁德市蕉城区宁川北路15-10号1-2层
免费电话:
0593-2872666
时间:
8:30-18:00

  • 微信公众号

  • 客服微信